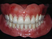
私が行なっている総義歯のテクニックは術者が口の中の形態を取るのではなく、患者さん自身が顎を動かす筋肉を利用して形を取るので口の中の環境に合った、よく食べられる優れた総義歯が出来上がります。
1.歯の形と色も口元と顔立ちで100種類もの組み合わせから選ぶので自然の歯に限りなく近づきます。
2.顎を動かす筋肉は複雑で義歯と調和が取れてないと痛みが発生します。
3.単純に形を取って作るのではなく、顔とのバランスや歯列を計測して作ります。
4.小さい義歯よりも失われた骨や粘膜を補う面積の大きい総義歯は硬い物も食べられます。審美総義歯はすべてがハンドメイドです。
|
歯学博士 院長 原田庸平 日本口腔インプラント学会 専門医 国際インプラント学会(ICOI) 専門医・認定医 国際歯科美容外科学会 認定医 国際血液生体材料応用会議 認定医 成人矯正学会 会員 日本顎咬合学会 会員 日本唾液腺学会 会員 インプラント治療は全て院長が行います。
|