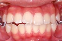
外から見えない矯正
矯正の初期では太いワイヤーで内側から大きく歯を移動させる装置を使用する。舌側矯正と違って時間もかからず楽に生活できます。
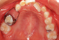
子供の矯正:3Dリンガルアーチ
乳歯が抜け落ちて大人の歯が生えてくるスペースが無くならないようにするために保隙装置を使いますが、部分的に確保しても全体的な不正な歯列を作ってしまいます。上の写真は特殊な装置(3Dリンガルアーチ)を使って、全体的な歯の移動を考えて乳歯と永久歯の入れ替えを正しく行なっています。
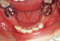
下の写真は良くない例
一部の空隙を確保しても反対側に不正歯列を作ってしまいます。
![]() |
歯学博士 院長 原田庸平 日本口腔インプラント学会 専門医 国際インプラント学会(ICOI) 専門医・認定医 国際歯科美容外科学会 認定医 国際血液生体材料応用会議 認定医 成人矯正学会 会員 日本顎咬合学会 会員 日本唾液腺学会 会員 インプラント治療は全て院長が行います。
|