症例1

インプラント埋込 

インプラント埋込  

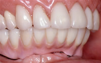
     術後


一番奥の歯が抜けると歯と歯をつないで修復するブリッジが出来ない為、今までは入れ歯しか選択が無かったのですが、インプラントを植立する事により、自分の歯の様に硬い物をかめ、審美的にも天然歯の様になります。

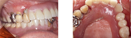
症例2:入れ歯をインプラントに換えて審美性と機能性を回復した症例

入れ歯をインプラントに換えて審美性と機能性を回復した症例

入れ歯が入っている術前

入れ歯をインプラントに換えて審美性と機能性を回復した症例

治療後

 

歯周病で歯を無くし、上下の咬み合わせも天然歯が5本しかありません、しかも互いにすれ違いで天然歯と入れ歯の咬み合わせの為に食べ物を咬み砕けません。

加えて前歯は、入れ歯の為ピンク色のプラスチックが見えて健康的に見えません。

これを入れ歯の代わりに上下インプラントを植立すると、梅干の種も咬める位のしっかりとした口腔内に変わり口元も美しくなります。

 

症例3:上顎は入れ歯、下顎はインプラント

上顎は入れ歯、下顎はインプラント

 

70歳の女性で上下顎総義歯でしたが、上顎に適合した新しい義歯を装着して咬み合わせの平面を正常に戻しました。下顎をインプラント治療で食事のたびに浮き上がる義歯を正常な天然歯の様に作り換えた症例です。

上顎は入れ歯、下顎はインプラント 術前

術前

長年入れ歯を入れているとこの様に顎堤が無くなっていきます。

上顎は入れ歯、下顎はインプラント インプラント埋込 

インプラント埋込

4本のインプラントを入れ、その日のうちに入れ歯をはずしてすぐに固定式の仮歯を入れて食事が出来ます。

上顎は入れ歯、下顎はインプラント 術後

術後

天然歯と全く変わらない口腔内を再現しています。